高端私人订制口腔医保定点单位 服务热线: 0577-88227777

慢性牙周炎治疗

【发布时间:2019-12-08】

  性别:女

  年龄:42岁

  主诉:右上后牙咬物疼痛一周

  诊断:慢性牙周炎

  方案:

  牙周基础治疗、口腔卫生宣教、松动牙齿牙周夹板固定、牙周手术治疗

  临床手记:

  李女士是温州一家科技公司的品牌经理,自述工作中需要经常与媒体及客户打交道,所以平时很重视自己的职业形象,对牙齿健康的重视度也高。平时不抽烟喝酒,还每年定期洁牙。近一个月来总感觉右上后牙咬物疼痛,用了止疼药就漱口水都不管用,通过朋友介绍来到温州蓝芽口。

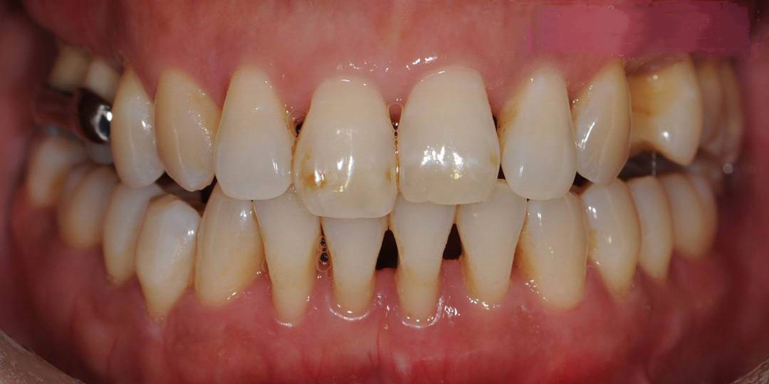
  治疗前

  口腔医生给李女士做了的基础检查,并建议拍摄了全景X光片,发现李女士的牙齿部分牙齿牙龈明显萎缩,牙根吸收,患有的慢性牙周炎。要进行的就是做个的基础洁治,牙齿整体的口腔卫生状况,控制炎症。复诊时,对松动牙齿进行了牙周夹板固定及必要的牙周手术治疗,让李女士自信的开始工作,微笑面对生活。

右上后牙咬物疼痛,慢性牙周炎

X光片

上一篇:没有了下一篇:牙周炎康复治疗